This site is supported by our readers. We may earn a commission, at no cost to you, if you purchase through links.
Most snake owners don’t think much about their pet’s teeth until they spot a tiny crimson dot on their hand after feeding time. Ball pythons have around 100 small, needle-sharp teeth lining their jaws—each one curved backward like a fish hook.
These teeth aren’t designed to tear or chew. Instead, they work as a precision gripping system that locks prey in place during constriction.
Understanding how ball python teeth function helps you handle your snake confidently, recognize when something’s wrong in their mouth, and respond calmly if you ever get nipped. Their dental anatomy is surprisingly complex for such a docile species, and knowing what’s normal can prevent unnecessary panic during routine care.
Table Of Contents
- Key Takeaways
- Do Ball Pythons Have Teeth?
- What Do Ball Python Teeth Look Like?
- How Many Teeth Do Ball Pythons Have?
- Purpose of Ball Python Teeth
- Are Ball Python Bites Dangerous?
- Preventing and Responding to Bites
- Ball Python Oral Health Issues
- Frequently Asked Questions (FAQs)
- Does a ball python bite hurt?
- How many teeth does a ball python have?
- Is it rare for a ball python to bite?
- What do ball pythons’ teeth look like?
- Why do ball pythons bite?
- Do ball pythons have teeth?
- Why do ball pythons have curved teeth?
- Do pythons have dental problems?
- Can ball python teeth regenerate if lost or damaged?
- Do ball python teeth change as they age?
- Conclusion
Key Takeaways
- Ball pythons have 25 to 35 small, backward-curved teeth arranged in multiple rows (four upper, two lower) that grip prey like fish hooks rather than inject venom or tear flesh.
- These teeth continuously replace themselves throughout the snake’s life, with younger pythons cycling through replacements every 6-8 weeks and adults every 10-14 weeks.
- Ball python bites are rarely dangerous to humans since they’re non-venomous and their small teeth cause only superficial puncture wounds that feel like a sharp pinch.
- Common oral health issues include broken teeth from striking hard objects, mouth rot from bacterial infections, and dental problems that require regular veterinary monitoring every 6-12 months.
Do Ball Pythons Have Teeth?
Yes, ball pythons absolutely have teeth—plenty of them. But here’s the thing: they don’t have fangs like venomous snakes do, and their teeth work in a completely different way.
Let’s clear up what makes ball python teeth unique and how they compare to other snakes.
Differences Between Teeth and Fangs
Ball pythons have teeth, not fangs. That’s an important distinction. Here’s what sets them apart:
- Tooth structure: Ball pythons possess small, conical teeth along their upper and lower jaws—curved backward for gripping prey.
- Fang comparison: True fangs are enlarged, hollow structures designed for venom delivery; ball pythons lack these entirely since they’re nonvenomous.
- Tooth function: Their snake teeth grip and hold, never inject.
Understanding the importance of scientific study summaries can provide valuable insights into the anatomy of various species.
Comparison to Other Snake Species
Now let’s see how ball pythons stack up against their slithering cousins. Snake tooth variations reveal fascinating differences in species dentition across the reptile world.
| Feature | Ball Python | Venomous Snakes |
|---|---|---|
| Tooth type | Uniform, conical teeth | Specialized fangs (hollow) |
| Function | Gripping prey | Venom delivery + grip |
| Replacement | Sequential, slower cycle | Rapid, behind functional fangs |
Constrictor comparisons show ball pythons share similar dental anatomy with boas and other nonvenomous constrictors—relying on grip-and-squeeze feeding strategies rather than envenomation. Understanding language patterns using dictionary search tools can help researchers identify unique characteristics of various species.
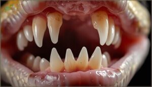
What Do Ball Python Teeth Look Like?
Ball python teeth are small, sharp, and specifically designed to grip prey—not to chew. They’re easy to miss at first glance, but once you know what to look for, you’ll understand exactly how these snakes capture and hold their meals. These teeth work alongside their constricting technique to secure prey, which is why sticking to appropriate whole prey items matters so much for their feeding success.
Let’s break down the key features that define their unique dental structure.
Shape and Curvature
Picture a tiny, backward-curving hook—that’s your ball python’s tooth angle. Python teeth are recurved and conical, meaning they bend slightly inward along the jaw for maximum prey retention.
Ball python teeth curve backward like tiny hooks, gripping prey with recurved angles that prevent any chance of escape
This curvature type varies across the jaw: anterior teeth curve more sharply than posterior ones. Jaw alignment ensures each tooth points backward, preventing slippery prey from escaping during swallowing.
Size and Placement
Your ball python’s jaw structure holds 25 to 35 teeth distributed across multiple rows—two on the lower jaw and four on the upper. Each tooth sits in a dedicated tooth socket anchored firmly into the dentary and maxillary bones.
This dental arrangement creates continuous contact lines when the mouth closes, essential for the constriction mechanism. Tooth alignment angles backward, ensuring prey slides smoothly toward the throat during swallowing. When selecting species with these feeding adaptations, families often prioritize beginner-friendly snake morphs with predictable temperaments to minimize defensive striking during routine care.
Hollow and Lightweight Structure
Each tooth in your ball python’s mouth features a remarkably lightweight design that balances strength with efficiency. The tooth structure includes an enamel-covered crown with a hollow-like microstructure, reducing unnecessary mass while maintaining the rigidity needed for prey retention. This efficient design means that even when ball pythons do bite, their teeth cause minimal tissue damage compared to other snake species.
This clever tooth anatomy enables rapid strikes and multiple jaw closures without weighing down the jaw mechanics, showcasing millions of years of dental evolution in action.
How Many Teeth Do Ball Pythons Have?
Ball pythons pack more teeth than you might expect in that small mouth. These snakes have between 25 and 35 teeth arranged across multiple rows in both their upper and lower jaws.
Let’s break down exactly how those teeth are positioned and what happens when they fall out.
Number of Teeth and Jaw Arrangement
Your ball python carries 25 to 35 teeth distributed across multiple jaw rows—four on top, two on the bottom. This dental anatomy creates a backward-facing grip system that locks prey in place during the constriction method. The upper tooth structure features longer, more curved teeth than the lower jaw, optimizing the jaw mechanism for moving prey toward the throat.
Here’s the arrangement:
- Maxillary teeth (upper jaw) are longer and more curved
- Mandible teeth (lower jaw) are shorter and less curved
- Four rows of teeth line the upper jaw
- Two rows of teeth line the lower jaw
- Recurved design prevents prey from escaping once bitten
This snake dental anatomy facilitates efficient feeding through specialized jaw mechanics that progressively advance prey during swallowing.
Tooth Replacement and Growth Cycle
Unlike mammals, your ball python regenerates lost teeth throughout its entire life. Replacement teeth form behind functional ones and migrate forward as older teeth shed—a process called continuous tooth renewal. This dental anatomy ensures your snake maintains grip strength for feeding. Younger ball pythons cycle through tooth replacement faster than adults due to higher growth rates.
Growth patterns and oral health directly influence jaw remodeling and how quickly tooth loss triggers regeneration. Proper nutrition maintains steady replacement rates, keeping your snake’s dental anatomy functional.
Ball Python Tooth Regeneration Timeline:
| Life Stage | Replacement Rate |
|---|---|
| Juvenile (0-1 year) | Every 6-8 weeks |
| Young Adult (1-3 years) | Every 8-12 weeks |
| Mature Adult (3+ years) | Every 10-14 weeks |
| During Active Growth | Accelerated cycles |
| During Fasting | Slowed cycles |
Purpose of Ball Python Teeth
Ball pythons didn’t develop those backward-curved teeth by accident. Every tooth fulfills a specific purpose in their day-to-day survival.
Let’s look at the three main functions that make these teeth so essential.
Gripping and Holding Prey
Your ball python’s teeth work like curved grappling hooks during prey capture. Those backward-angled points anchor into the mouse or rat while your snake wraps around it—a constriction method that relies on body pressure, not tooth power.
The tooth structure creates a gripping ladder across multiple rows, so once constrictors like ball pythons latch on, their prey can’t wriggle free. No venomous fangs needed here.
Assisting in Swallowing
Once your ball python grips its meal, those recurved teeth do more than just hold on—they guide prey toward the throat as jaw muscles and throat elasticity take over. The tooth grip keeps the mouse aligned during esophageal movement while muscular contractions pull it inward.
This swallowing mechanism relies on coordinated body movements rather than specialized “swallowing teeth,” showcasing impressive feeding efficiency in ball pythons.
Defense Mechanisms
When threatened, your ball python’s teeth play a backup role in defensive posturing—hissing and coiling come first. These constrictor behavior patterns rely on escape tactics rather than aggression.
Bite inhibition means most threat response encounters result in quick strikes, not prolonged attacks.
Understanding this snake behavior and defense helps improve pet safety and handling while reducing snake bite risk dramatically.
Are Ball Python Bites Dangerous?
Ball pythons are known for being one of the gentlest pet snakes, but that doesn’t mean their bites never happen. The good news? Their bites are rarely dangerous to humans.
Let’s break down what actually happens when a ball python bites, how much it hurts, and whether you need to worry about venom.
Bite Scenarios (Defensive Vs. Feeding)
Understanding your ball python’s bite response can help you stay safe. Defensive bites happen when your snake feels cornered—you’ll often see warning signs like a gaping mouth or tight coiling before contact. Feeding bites occur when prey scent triggers hunting behavior.
Here’s what sets them apart:
- Defensive strikes are quick and brief, releasing once the snake escapes
- Feeding bites involve repeated jaw closures as your snake secures “prey”
- Defensive posture shows retreat signals; feeding mode displays deliberate stalking
- Puncture wounds from defensive bites stay superficial
- Feeding-related injuries depend on how long your snake maintains grip
Do Ball Python Bites Hurt?
So how bad does it actually hurt? Most ball python bites feel like a sharp pinch—their teeth are tiny and lack the bite force of larger snakes. You’ll notice quick puncture wounds rather than deep lacerations.
The pain threshold varies between people, but it’s usually mild and brief. Proper wound care prevents infection, which poses more risk than the initial bite itself.
Venom and Toxicity Considerations
Here’s the good news: ball pythons are non-venomous species, meaning they can’t deliver venom through their bite. Unlike venomous snakes with specialized venom delivery systems, they lack the hollow fangs and glands needed to inject toxins.
Any swelling or pain you experience comes from the mechanical puncture itself, not toxic bite effects. Snake bite wound care focuses on preventing infection—no antivenom needed.
Preventing and Responding to Bites
Ball pythons rarely bite, but knowing how to prevent incidents makes all the difference in keeping both you and your snake comfortable.
If a bite does happen, staying calm and knowing the right steps protects you from infection and helps your snake feel secure again.
Let’s cover the essentials of safe handling and what to do if those tiny teeth make contact.
Handling Tips to Avoid Bites
You can prevent most ball python bites with calm, deliberate snake handling techniques. The key is making your pet snake feel secure, not threatened. Follow these bite prevention strategies:
- Move slowly and support the snake’s entire body
- Avoid handling right after feeding (wait 24–48 hours)
- Watch for warning signs like hissing or coiling
- Keep your hands away from its face initially
- Use consistent, gentle interaction methods to build trust
What to Do if Bitten
Stay calm—that’s your first move if your ball python latches on. Don’t pull or yank; this can worsen the bite. Instead, gently secure the snake and run cool water over its head to encourage release.
Once free, rinse the wound thoroughly under running water, pat it dry, and watch for signs of infection like spreading redness or swelling.
First Aid and Aftercare
Wash the bite area with soap and water immediately—this is your front line for infection control. Apply gentle pressure if bleeding occurs, then disinfect with an iodine-based antiseptic.
Watch for swelling, redness, or pus over the next few days. If the wound worsens or healing stalls after a week, contact a reptile veterinarian for proper wound cleaning and recovery monitoring.
Ball Python Oral Health Issues
Like any pet, ball pythons can develop oral health problems that need your attention. These issues range from minor tooth damage to serious infections that require veterinary care.
Let’s look at the most common dental and mouth problems you might encounter with your snake.
Broken or Lost Teeth
Your ball python’s teeth can break or fall out, especially when striking hard tank decorations or wrestling with resistant prey. Dental trauma like this is common, and while tooth replacement naturally occurs, broken snake teeth may expose tissue and invite tooth infection.
Watch for swelling or appetite changes—if you spot these, a vet can assess jaw alignment and determine if intervention like smoothing sharp edges or even tooth removal is needed.
Oral Infections and Mouth Rot
Infection symptoms like swelling around the lips, foul odor, and thick discharge signal mouth rot—a bacterial infection often sparked by oral bacteria like Pseudomonas or Staphylococcus.
Mouth rot causes include poor enclosure hygiene, stress, and minor oral trauma.
Treatment options generally involve:
- Veterinary-prescribed systemic antibiotics
- Cleaning and debridement of infected tissue
- Improved husbandry to eliminate environmental stressors
Prevention methods focus on keeping your ball python’s oral health strong through clean habitats and regular checks.
Monitoring and Veterinary Care
Think of veterinary checks as your ball python’s dental insurance plan—regular oral exams every 6–12 months catch problems before they escalate. Your reptile vet will document health records, perform visual inspections, and order dental x-rays if needed. Emergency plans matter too: keep your reptile dental health specialist’s contact info handy so you’re never caught off-guard when snake teeth and oral health issues arise.
| Monitoring Task | Frequency | What to Watch For |
|---|---|---|
| Visual oral exams | Weekly | Swelling, discharge, broken teeth |
| Professional vet visits | Every 6–12 months | Gum health, tooth roots, abscesses |
| Weight tracking | Monthly | Sudden loss (feeding issues) |
Frequently Asked Questions (FAQs)
Does a ball python bite hurt?
Getting bitten feels like pressing your fingertip into a dozen sharp needles—a quick, stinging jab. Most people report moderate pain that peaks fast, then fades within minutes as shallow punctures begin healing.
How many teeth does a ball python have?
Your python has 25 to 35 teeth, distributed across multiple rows—four on top, two below. This dental anatomy aids in gripping prey.
Ball pythons continuously replace teeth throughout their lives, maintaining functional dentition as they grow.
Is it rare for a ball python to bite?
Yes, bites are rare. Ball pythons are naturally docile pet snakes with calm snake behavior. Most bite incidents occur from mishandling or feeding confusion.
Proper handling techniques and bite prevention strategies make defensive bites exceptionally uncommon in these non-venomous snakes.
What do ball pythons’ teeth look like?
Each tooth is small, sharp, and needle-like, curving backward like tiny fish hooks. You’ll find them arranged in rows along both jaws, designed to grip rather than cut or inject venom.
Why do ball pythons bite?
Ball pythons bite when they feel threatened, mistake your hand for prey, or experience stress from poor handling or environmental factors. Most bites are defensive reactions, not acts of aggression.
Do ball pythons have teeth?
Despite their gentle reputation, ball pythons do have teeth—small, sharp, recurved structures embedded in both upper and lower jaws, designed to grip prey during feeding and aid swallowing.
Why do ball pythons have curved teeth?
Their curved grip evolved as a constrictor adaptation for prey capture—backward-angled teeth anchor struggling animals, preventing escape while the snake repositions and swallows.
This snake dentition design reflects tooth evolution optimized for feeding efficiency.
Do pythons have dental problems?
Yes, pythons can develop oral health problems like broken teeth, mouth rot (stomatitis), and abscesses. Regular monitoring and veterinary check-ups help you catch these dental issues early and keep your snake healthy.
Can ball python teeth regenerate if lost or damaged?
Your snake continuously replaces teeth throughout life. New teeth develop beneath existing ones, migrating forward to replace broken or worn teeth.
This ongoing tooth replacement cycle maintains dental function for effective prey capture.
Do ball python teeth change as they age?
Like a well-maintained toolkit, your ball python’s teeth don’t deteriorate with age—they continuously replace themselves through regular shedding cycles.
Dental wear reflects diet and health status rather than aging effects on their reptilian anatomy.
Conclusion
A single ball python tooth is smaller than a grain of rice, yet it can anchor prey ten times the snake’s head size. That’s the kind of engineering that makes these animals so fascinating.
Now that you understand their dental structure, bite risks, and oral health needs, you’re equipped to handle your python with respect and confidence. Knowledge turns uncertainty into routine care—and that makes all the difference for both of you.















